Pular para o conteúdo
Clinica Villa Vita
Odontologia, Medicina, Bem-estar e muito mais!
Clinica Villa VitaClinica Villa Vita
  • Home
  • Sobre nós
  • Serviços
    • Odontologia
    • Medicina
    • Bem estar
  • Invisalign
  • Exames
  • Pronto Atendimento
  • Blog
  • Contato
  • Home
  • Sobre nós
  • Serviços
    • Odontologia
    • Medicina
    • Bem estar
  • Invisalign
  • Exames
  • Pronto Atendimento
  • Blog
  • Contato

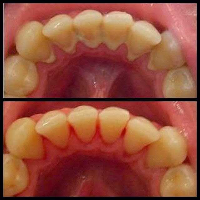
TÁRTARO NÃO!





A profilaxia / limpeza é um procedimento rápido e eficaz!

Agora sim a gengiva está saudável!


Clínica Villa Vita
Odontologia e Saúde

R. Sales Júnior, 642 – Alto da Lapa 
(11) 3832-1062 / 3832-1063

www.clinicavillavita.com.br 

Category: Sem categoriaPor Clinica Villa Vita05/01/2022Deixe um comentário
Share this post
Share on FacebookShare on Facebook TweetShare on Twitter Pin itShare on Pinterest Share on WhatsAppShare on WhatsApp Share on LinkedInShare on LinkedIn

Autor: Clinica Villa Vita

http://clinicavillavita.com.br

Navegação de post:

AnteriorPost anterior:Lesões bucais: Herpes SimplesPróximoPróximo post:CLÍNICA VILLA VITA NAS ESCOLAS

Deixe um comentário Cancelar resposta

Seu endereço de e-mail não será publicado. Campos obrigatórios estão marcados *

treze − nove =

Postar Comentário

 

Fundada há mais de 20 anos, a Villa Vita oferece diversas especialidades médicas, odontológicas e bem-estar que atendem as especialidades de tratamento familiar de todas as faixas etárias, sempre respeitando as diferenças e cuidados individuais de cada paciente.

  • Telefone
    (11) 3832-1062
    (11) 3832-1063
  • Endereço
    Rua Sales Júnior, 642 - Alto da Lapa
    São Paulo - SP, 05083-070
  • E-mail
    [email protected]
  • Horário de atendimento
    Segunda - Sexta ………… 8:00 – 19:00
    Sabádo ……… 8:00 - 12:00

    Go to Top

    WhatsApp us